The Full Spectrum of Services

Core lab services include:

  • Sonographer and reader training
  • Image interpretation and quantification
  • Data analysis
  • Quality assurance
  • Protocol design
  • Consultation
View of computer screen while AIRP researcher measures arterial function

Digital Imaging

The UW AIRP performs, acquires, and stores all ultrasound data in digital (DICOM) formats. Local studies are performed using high-end ultrasound systems with high-resolution ultrasound transducers. We can read outside images that have been stored in almost any digital format.

We have a site network with collaborating centers available for use in the development of clinical trials. We have an easy, secure process for sites to transfer images and data to our server using encrypted HIPAA-compliant methods.

Below is a B-mode ultrasound image of the distal common carotid artery with far wall extraction, color coding of normalized and standardized grayscale values, and grayscale measurements of early arterial injury.

Image

Data Storage

All UW AIRP activities occur in a custom web-based application developed by the UW Department of Medicine Information Technology team. This extended database provides a secure, centrally located, and globally accessible repository for information regarding the UW AIRP, including sonographer training and certification information, ultrasound equipment calibration, image quality evaluation forms, incidental finding forms, reading reports and data mining across multiple studies and sites.

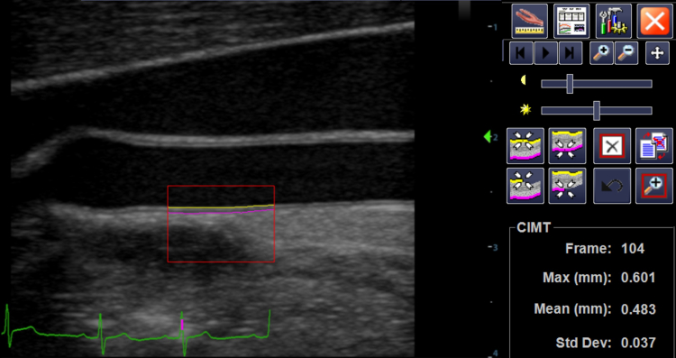
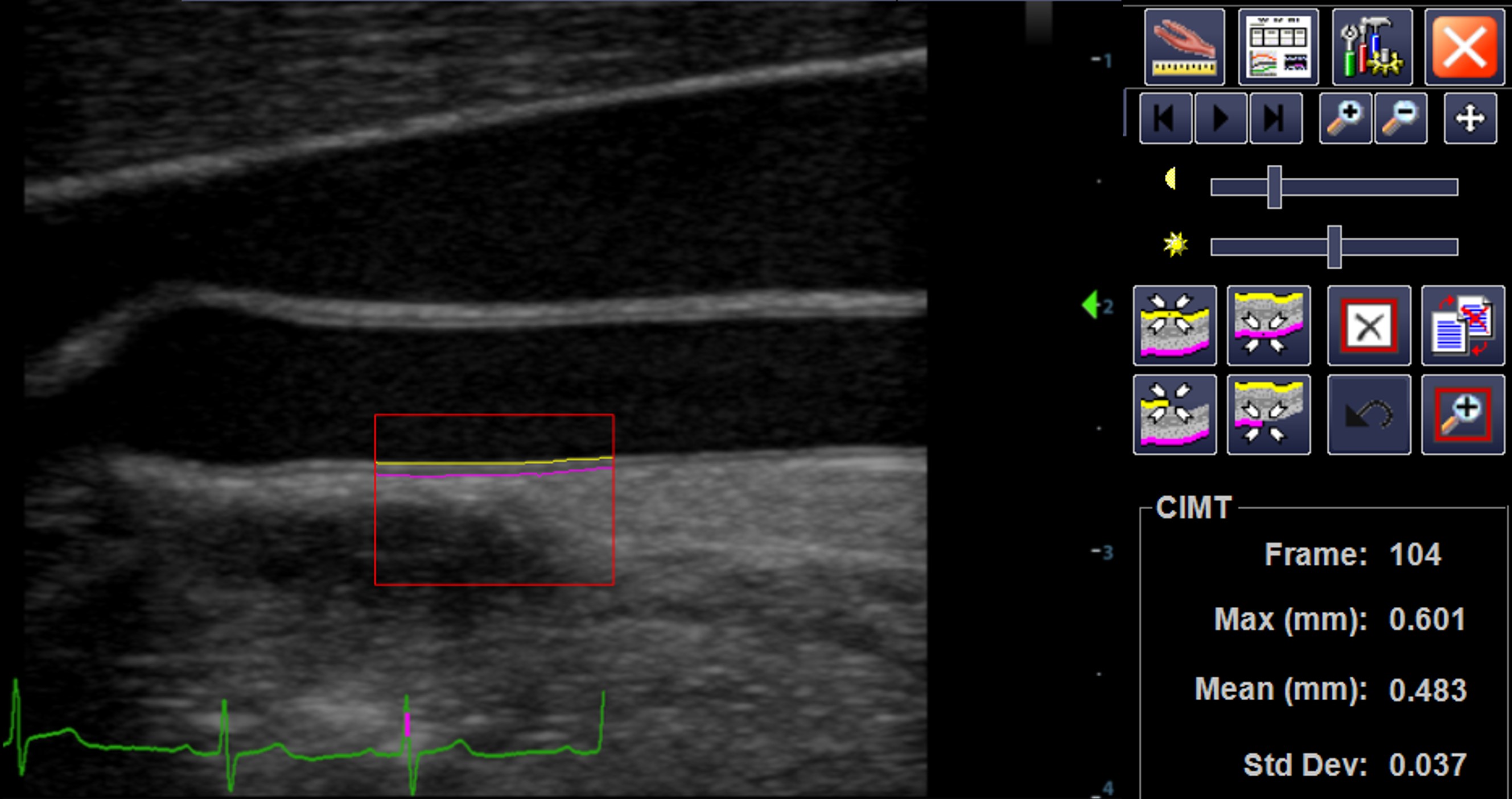
Below demonstrates measurement of far wall common carotid artery intima-media thickness.

Image

Quality Assurance

We build appropriate quality assurance parameters into every protocol, including phantom scanning, determination of test-retest reproducibility, and determination of intra- and inter-observer variability. We are one of the few core labs in the world that have subjected its measurements to external validation by an outside core lab.

Below shows carotid-femoral artery pulse wave velocity data.

Image

Staff Expertise

All UW AIRP staff are salaried employees with very low rates of turnover. We do not use students or trainees for reading studies. Our readers are highly experienced, registered ultrasonographers (RVT, RDCS, and/or RDMS). All staff are experienced at performing and teaching a wide range of scanning and measuring protocols and can perform accurate measurements.

Research Training

We offer research training sessions for large or small groups on request. These typically take one to two days and focus on hands-on, supervised scanning and reading practice. For more information, contact UW AIRP Director Dr. James Stein.