Dr. Natalie Callander discusses clinical trial for patients with relapsed or refractory multiple myeloma

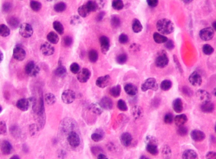
Micrograph (H&E stain) of a plasmacytoma

A patient advocacy organization quoted Natalie Callander, MD, professor (CHS), Hematology, Medical Oncology and Palliative Care, about an ongoing Phase I clinical trial of I-131-CLR1404 to allow targeted delivery of ionizing radiation to myeloma cells.

“We are excited to be developing a new treatment option for this difficult disease. Because of its unique mechanism of action, I-131-CLR1404 may represent an entirely different treatment approach for patients that are no longer responding to currently available therapies,” said Dr. Callendar.

The Phase I trial is being conducted at three myeloma centers. It is testing the best dose, safety and tolerability of I-131-CLR1404, with and without concurrent weekly dexamethasone. Myeloma patients must have been previously treated with (or have become intolerant to) an immunomodulator and a proteasome inhibitor.

The ClinicalTrials.gov Identifier number for the trial is NCT02278315. The estimated primary completion date (i.e., the final data collection date for primary outcome measure) was September, 2017.

Resources: